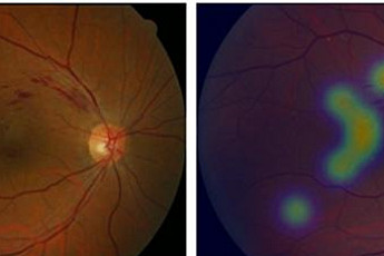
전체 1주 1개월 1년 직접입력 ~ 적용 취소 검색결과 총4건 최신순 정확도순 사진 촬영 기본, '빛'을 놓치지 말자 2020-03-30 11:08 사진은 카메라로 쓰는 이야기다 2020-03-20 09:11 사진을 찍지 마라 2016-08-09 13:12 @@@ [함철훈의 사진 이야기] 사진으로 누군가의 가난을 훔치지 마라 2015-12-18 07:41 ◀1▶ 이투데이 "눈건강 이상 여부 이제 딥러닝 알고리즘이 알려준다" 2019-06-11 08:58 [데스크칼럼] 개헌에 성평등도 담자 2018-03-27 10:49 [김은총의 映樂한 이야기] 영화 '그녀(Her)'를 통해 본 시뮬라크르와 휴머니즘 2014-09-01 17:45